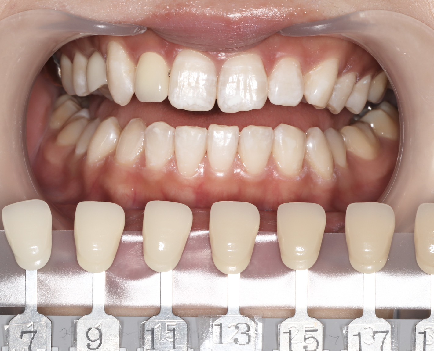
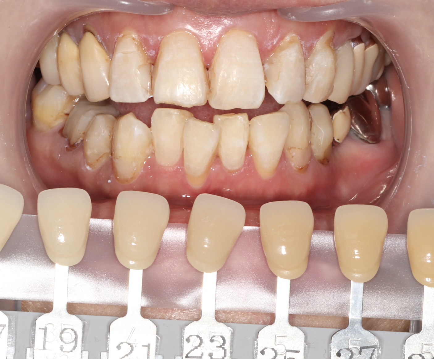
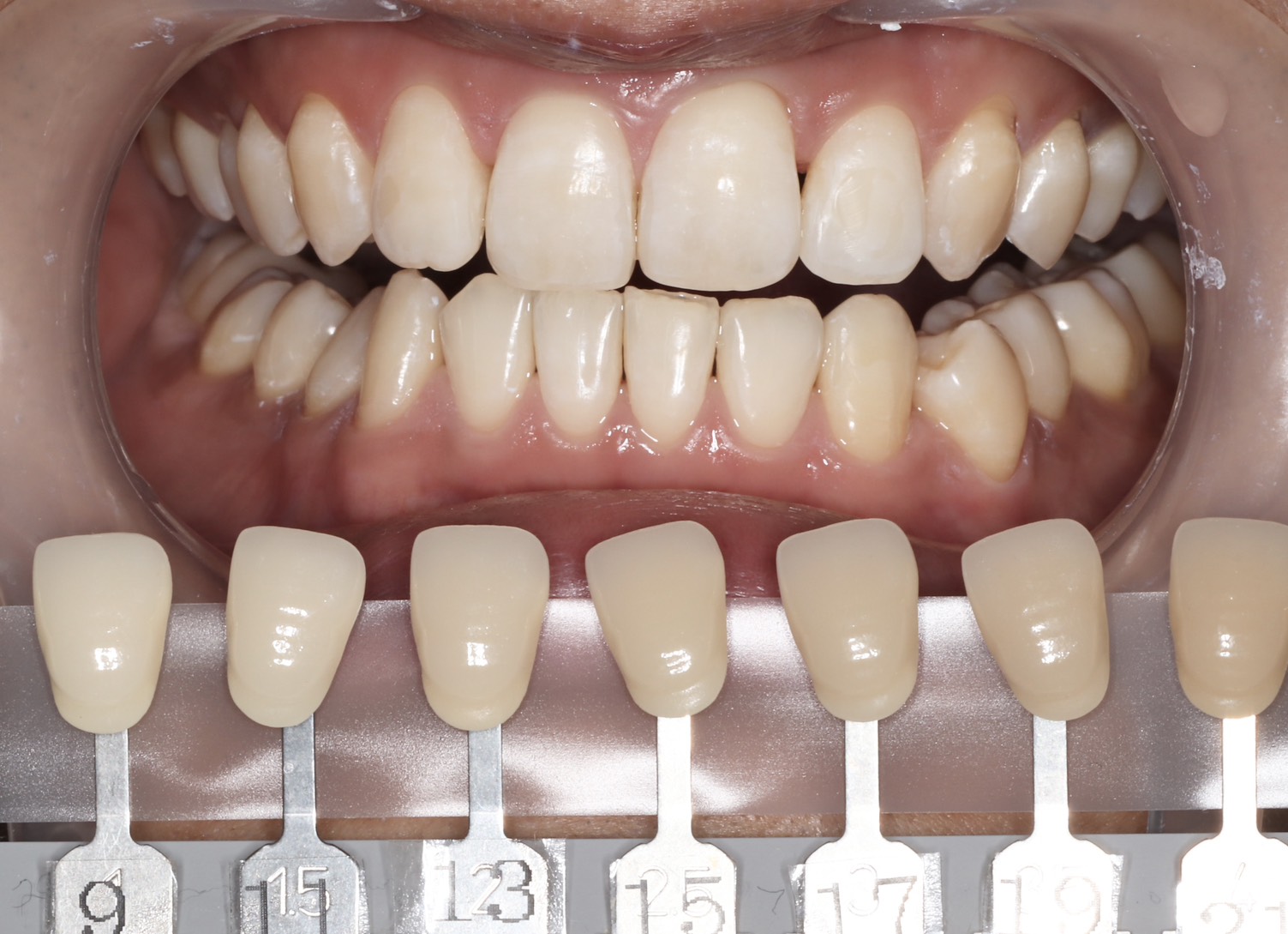
ホワイトニング ホワイトニング トランセントフラッシュホワイトニング ホワイトニング 70代・女性のホワイトニング症例 年齢・性別70代・女性 費用初診45,000円・再診40,000円 行った治療トランセントフラッシュ10分照… ホワイトニング トランセントフラッシュホワイトニング ホワイトニング 60代・女性のホワイトニング症例 年齢・性別60代・女性 費用初診45,000円・再診40,000円 行った治療トランセントフラッシュ10分照… ホワイトニング トランセントフラッシュホワイトニング ホワイトニング 20代・女性のホワイトニング症例 年齢・性別20代・女性 費用初診45,000円・再診40,000円 行った治療トランセントフラッシュ10分照… ホワイトニング トランセントフラッシュホワイトニング ホワイトニング 30代・女性のホワイトニング症例 年齢・性別30代・女性 費用初診45,000円・再診40,000円 行った治療トランセントフラッシュ10分照… ホワイトニング トランセントフラッシュホワイトニング ホワイトニング 40代・女性のホワイトニング症例 年齢・性別40代・女性 費用初診45,000円・再診40,000円 行った治療トランセントフラッシュ10分照… ホワイトニング トランセントフラッシュホワイトニング ホワイトニング 40代・女性のホワイトニング症例 年齢・性別40代・女性 費用初診45,000円・再診40,000円 行った治療トランセントフラッシュ10分照… ホワイトニング トランセントフラッシュホワイトニング ホワイトニング 50代・女性のホワイトニング症例 年齢・性別50代・女性 費用初診45,000円・再診40,000円 行った治療トランセントフラッ… ホワイトニング トランセントフラッシュホワイトニング ホワイトニング 50代・女性のホワイトニング症例 年齢・性別50代・女性 費用初診45,000円・再診40,000円 行った治療トランセントフラッ… ホワイトニング トランセントフラッシュホワイトニング ホワイトニング 50代・女性のホワイトニング症例 年齢・性別50代・女性 費用初診45,000円・再診40,000円 行った治療トランセントフラッ… ホワイトニング トランセントフラッシュホワイトニング ホワイトニング 40代・女性のホワイトニング症例 年齢・性別40代・女性 費用初診45,000円・再診40,000円 行った治療トランセントフラッ… 1 2 3 4 5 … 7 Next > ブログTOPへ戻る 歯科院長縣 光毅 当院ドクターが皆さんの健康を守る情報をお届けします。 ドクターのご紹介 Category インプラント治療ホワイトニングマウスピース矯正医院からのお知らせ Keyword インプラントオールオン4セラミック治療トランセントフラッシュホワイトニングホワイトニングマウスピース矯正ワンデイインプラント全顎治療咬合治療根管治療虫歯金属アレルギー