波多野デンタル
NEWS

さいたま市の歯医者
波多野デンタルオフィス新都心で
行ったインプラント、
マウスピース矯正
などの症例をご紹介します。

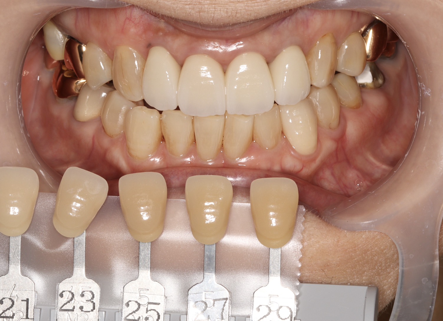
ホワイトニング 2026-3-2

70代・女性のホワイトニング症例

年齢・性別
70代・女性
費用
初診45,000円・再診40,000円
行った治療
トランセントフラッシュ10分照射
副作用・リスク
・軽度の歯肉炎症を生じることがあります。
・施術中や施術後に熱感を感じることがあります。
・施術後は徐々に歯色が後戻りしていきます。
Before
After
トランセントフラッシュホワイトニング1回照射(10分)の症例(治療前) トランセントフラッシュホワイトニング1回照射(10分)の症例(治療後)

60代・女性のホワイトニング症例

年齢・性別60代・女性 費用初診45,000円・再診40,000円 行った治療トランセントフラッシュ10分照…