ホワイトニング
2025-9-25
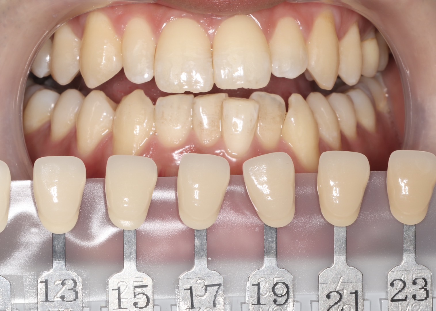
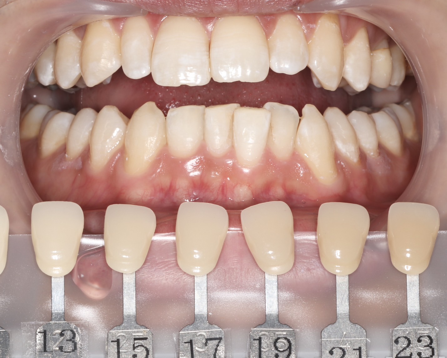
20代・男性のホワイトニング症例
年齢・性別
20代・男性
費用
初診45,000円・再診40,000円
行った治療
トランセントフラッシュ10分照射
副作用・リスク
・軽度の歯肉炎症を生じることがあります。
・施術中や施術後に熱感を感じることがあります。
・施術後は徐々に歯色が後戻りしていきます。
・施術中や施術後に熱感を感じることがあります。
・施術後は徐々に歯色が後戻りしていきます。
Before
After

