インプラント治療
2024-11-11




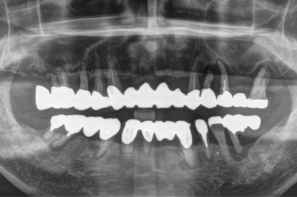
歯周病で噛めなくなってしまった方の上下オールオン4症例
歯周病が進行して支える骨がやせてしまい、すべての歯がグラグラしている状態で受診された患者様です(50代男性)。
術前に歯周病治療をしっかり行ってから、インプラントを埋入しました。オペ当日に仮歯が入り、噛めるようになって喜んでいただきました。
主訴
ブリッジ揺れて噛めない、全ての歯が動揺している
費用
700万(税込)
治療期間
9ヶ月
※最終的な被せ物が装着されるまでの期間
※最終的な被せ物が装着されるまでの期間
行った治療
上顎・下顎ともにオールオン4
オペ当日に仮歯を装着(初診から2週間後にオペを実施)
オペ当日に仮歯を装着(初診から2週間後にオペを実施)
Before
After



