照射時間10分間 自然にツヤめく白い歯に
従来の
ホワイトニング
トランセントフラッシュ
ホワイトニング
従来のホワイトニング
トランセントフラッシュホワイトニング
ホワイトニングはどこで受けても同じ?とお考えの方へ
トーンによる印象違い
試せます
以下の7、13、19、25の4色の歯の色による イメージの違いを試せます。
トランセントフラッシュホワイトニングの3つの特徴
当院の
ホワイトニング症例
症例1 Before
症例1 After
14シェード明るくなった症例 〈 40代 女性 〉
施術内容

トランセントフラッシュホワイトニング

費用

初診45,000円(税込)
再診40,000円(税込)

回数

1回10分照射

副作用・リスク

・軽度の歯肉炎症を生じることがあります。
・施術中や施術後に熱感を感じることがあります。
・施術後は徐々に歯色が後戻りしていきます。

症例2 Before
症例2 After
5シェード明るくなった症例 〈 30代 女性 〉
施術内容

トランセントフラッシュホワイトニング

費用

初診45,000円(税込)
再診40,000円(税込)

回数

1回10分照射

副作用・リスク

・軽度の歯肉炎症を生じることがあります。
・施術中や施術後に熱感を感じることがあります。
・施術後は徐々に歯色が後戻りしていきます。

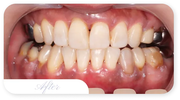
症例1 Before
症例1 After
8シェード明るくなった症例 〈 50代 男性 〉
施術内容

トランセントフラッシュホワイトニング

費用

初診45,000円(税込)
再診40,000円(税込)

回数

1回10分照射

副作用・リスク

・軽度の歯肉炎症を生じることがあります。
・施術中や施術後に熱感を感じることがあります。
・施術後は徐々に歯色が後戻りしていきます。

施術の流れ
電話番号 WEB予約
お気軽にご相談ください
トランセントフラッシュホワイトニング よくあるご質問
電話番号 波多野デンタルオフィス新都心
Hatano Dental Office All Rights Reserved.
048-643-8020 WEB予約
WEB予約